产品介绍

我们提供的不只是产品,还有专业化的解决方案


      产品介绍
  •        + 磁性材料
  •         » 软磁复合材料
  •         - 合金粉末
  •         - 磁粉芯
  •         » 磁性流体
  •         - 水基磁流体
  •         - 油基磁流体
  •         » 定制服务
  •         - 定制服务
  •        + IVD试剂
  •         » 生物医学产品
  •         - IHC二抗试剂
  •         - 生物纳米磁珠
  •         - 人源H亚基铁蛋白
  •         » 定制服务
  •         - 蛋白纯化开发
  •         - 发酵工艺开发
  •      产品介绍详情
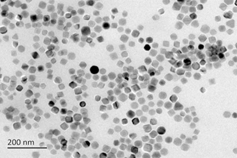
    生物纳米磁珠

    产品名称:生物纳米磁珠

    产品编号:BM-Bead-WT

    产品用途:基因转染,细胞分选

    产品说明:BM-Bead-WT是由生物合成的天然磁珠,粒径30-50 nm,由磷脂双分子层包被,生物安全性高,表面富含氨基、羧基、羟基、巯基等活性基团。


    样品申请列表 为必选
       
    样品申请
    公司名称
    电话号码
    微信账号
    您的邮箱
    您的地址
    备注
     
           
    返回上一页
    生物纳米磁珠
    在线留言
    如果您对我们的产品有什么需求,请在线留言!
    联系我们
    江苏生源纳科新材料有限责任公司
    地 址:江苏省常州市武进区常武中路18-56号联泓新材料创新研发大厦
    电 话:+86 0519-88201799
    邮 箱:info@magcage.com